歯を失った方へ

 
トップ > インプラント > 歯を失った方へ

虫歯や歯周病または怪我により歯を失ってしまった、または今後抜歯を予定していて、歯を抜いた後どうなるのだろうと心配な方にお読みいただきたいページです。
なるべく自然に元通りに治ることが理想ですが、周りの歯を削らなければいけない治療法や取り外しをしなければならないものまで、様々な治療法があります。治療前に、どのような治療法があり、それぞれの利点欠点を知って、自分のしたい治療法を選択していただきたいと思います。

歯がないまま放置すると

隣の歯が傾いてしまう

歯がないまま放置してしまうと、隣の歯が歯のないスペースに傾いてきてしまいます。傾いてしまった歯は噛み合わせが悪くなり、ますます噛める歯が少なくなってしまいます。
 
傾いた歯

 

噛み合う歯が伸びてくる

歯は噛みあう歯がないと噛む歯をもとめて伸びてきます。歯の上下の並びが悪くなってしまいます。
伸びてきた歯

 

残っている歯の負担が増える

周囲の残った歯には相対的に噛み合わせの負担が増えていきます。歯を抜いた側を避けて反対側で噛んでばかりいたら反対側の歯もぐらついてきたということがよく起こります

周囲の歯の歯周病やむし歯の進行

以上のことから、歯が欠損したまま放置すると歯並びが悪くなり歯垢歯石が付きやすくなります。また噛み合わせも悪くなり、特定の歯に破壊的な噛み合わせが加わることが多くなると歯がぐらついてきます。周囲の歯の歯周病むし歯が進行してしまい、さらに歯を失うことになってしまいます。

歯のない部位への治療法

ブリッジ

歯のない部分の隣りの歯を削って欠損部も含めた被せものを周囲の歯に被せて固定する治療法です。
ブリッジ

 

義歯・入れ歯

欠損部の歯肉の上にプラスチックの装置を乗せて、周囲の歯に針金で固定する治療法です。
義歯

 

インプラント

歯のない部位に人工の歯根を埋め込み、その上に被せ物を入れる治療法です。

インプラント

各治療法の比較

治療法 インプラント ブリッジ 義歯
周囲の歯への負担
見た目
異物感
手入れ
長期安定性
噛む力
治療費用

ブリッジ治療

利点

取り外しの手間がない

義歯の場合、毎食後に取り外して装置を洗う必要があり、煩わしく感じる方もいます。ブリッジは周囲の歯にセメントで固定するため、装置を外す必要がありません。

材質によってはきれいに被せることができる

ブリッジの材質をセラミックなどの審美材料で行うことによって、周囲の歯も含めてきれいに修復することができます。

セラミックブリッジ

 

欠点

周囲の歯を大きく削る必要がある

欠損部を補うために隣りの歯を全周削って被せる必要があります。むし歯のない健全なきれいな歯も削らなければなりません。歯は皮膚や骨と違って一度傷つくと元には戻りません。このことは周囲の歯への負担としては、とても大きな欠点となります。ブリッジ治療を行う場合、治療前にこの点をしっかり考える必要があります。
ブリッジ削る前
   
ブリッジ削った後

 

材質によっては見た目が悪い

保険適応の材質の場合、奥歯には金属冠が入ります。銀色の被せ物のため目立ちます。前歯には金属にプラスチックをコーティングした歯が入ります。見た目は白いですが、プラスチックなので透明感が弱く歯の白さとは違って見えます。また、プラスチックは着色・変色しやすく、徐々に黄ばんでしまいます。
金属ブリッジ

 

メインテナンス、交換が大変

ブリッジは複数の歯が連結されているので、ブラッシングの際に磨き残しが生じやすく、むし歯・歯周病になりやすいです。ブリッジを支えている歯の一部にむし歯・歯周病が発生してしまうと、ブリッジ装置を壊してすべてを外してやりなおさなければならず、手入れに手間や費用がかかります。

義歯・入れ歯

利点

保険材料の装置なら安価

健康保険適応の義歯なら、他の治療法に比べて安く装置を作製することができます。
 

欠点

異物感が強い

義歯は歯肉の上に乗っかっている床という部分があり、床が大きいほど義歯は安定します。食事や会話などの舌を動かす際に床にさわるので、慣れるまで異物感を強く感じ、義歯の装着をやめてしまう方も多くいらっしゃいます。
義歯異物感

 

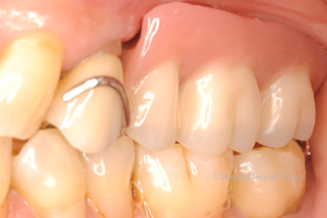
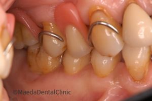
着脱が煩わしい

毎食後や寝る前に装置を外して洗う必要があります。変色しないように定期的に義歯洗浄剤を使用する必要があり、手入れが大変です。また、外して保管している際に装置を紛失してしまうこともあります。
 

見た目が悪い

針金で周囲の歯に固定するので、笑ったり口を開けたりする際に針金が目立ちます。
義歯見た目

 

噛む力が弱い

物を噛む力は健康な歯が100%とすると、インプラントが90~100%,
ブリッジが60%程度、義歯は20%程度と言われています。
 

周囲の歯に負担がかかる

ブリッジと比較すると、周囲の歯を削る量は少ないですが、針金が乗っかる部分の歯を削ります。また針金をかけている歯は欠損部の負担も負わなければならないので、歯周病が悪化するリスクが高まります。

インプラント

利点

周囲の歯を全く削らなくていい

インプラントは骨内に人工歯根を入れて独立した歯を作るので、周囲の歯と固定する必要がないため、周囲の歯を傷つけません。

インプラント術前
 
インプラント術後

 

周囲の歯に負担をかけない

ブリッジや義歯は欠損部の負担を周囲の歯に負わせますが、インプラントはしっかりと噛める歯が1本増えることになるので、周囲の歯にかかる負担が相対的に少なくなります。
 

噛む力が強い

健康な歯と同等の力で噛むことができます。
 

取り外す必要がない

被せ物をネジやセメントで固定するため、着脱の必要がありません。(上部構造が義歯で、着脱するタイプのものもあります。)
 

見た目が自然

周囲の歯の形態は変えずに歯を入れることができるので、見た目がきれいに仕上がります。
インプラント術前
  
インプラント術後

 

異物感がない

他の治療法と比較して一番歯の形態に近いので、異物感がありません。
 

欠点

自費治療のため高価

インプラントは自由診療となるため治療の費用が高価となります。被せ物の種類によって変わりますが、埋入手術・上部構造含めて35万円(税抜き)程度かかります。

最新記事

[%article_date_notime%] 

[%new:新着%] [%title%]

 

おしらせ一覧

 
 
 
 
 
前田歯科医院logo